大野城市 歯医者 歯科 インプラント 審美歯科 ホワイトニング 小児歯科 矯正歯科
HOME ≫ 診療内容 ≫
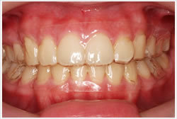
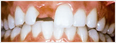
インプラントとは、失ってしまった天然歯の替わりに、人工の歯根を顎の骨に埋め込み、その上に人工の歯を装着する治療法です。従来の入れ歯とは違って、健康な歯を削る必要もなく、固定性であるためガタついたりせず、自分の歯と同じように“食べる・話す”ことが出来るようになります。
デンタルインプラントで支えられた歯は、従来の補綴物とどう違いますか?
| インプラント | 1本¥150,000~350,000(税別) |
| 部分矯正 | ¥50,000(税別)~ |
|
全顎矯正 |
¥400,000(税別)~ |
歯のホワイトニングとは 簡単に申し上げますと「歯を白くする方法のすべて」のことです。
歯のケアのひとつでお肌の美白と一緒とお考えください。
歯科専用の機械で歯の汚れを落とし本来の歯の白さに戻す方法です。
歯の表面に専用の薬剤をつけ漂白していく方法です。
歯の表面を一層削ってセラミックを貼り付け形や色を変える方法。 つけ爪のようなものです。
歯の表面全体を削って、セラミックの歯をかぶせ歯を白くする方法です。
まずは歯へのダメージの少ない方法から順番にご紹介していきたいと思います。
それぞれの治療法には長所短所があります。
また、患者さまによって出来る治療出来ない治療があります。専任のカウンセラーにご希望、お悩みをご相談いただいた上で最善の治療法をご提案させていただくシステムとなっておりますので、ご安心ください。
「ホワイトニング」はその名の通り、白くすること。
ここでいう「ホワイトニング」は、「過酸化水素」という薬剤を使用して歯の中の着色物質を分解し歯を白くすることです。
その方法には、歯科クリニックで行う「オフィスホワイトニング」と、お家で行う「ホームホワイトニング」があります。
当院で行うホワイトニングです。歯にジェル(薬剤)を塗って歯を白くします。
コースによりますが、1回15分から1時間くらいかかり、1回~数回の来院が必要です。

ご自宅で、自分自身で行います。
最初に当院で歯列全体の型をとり、ホームホワイトニング用カスタムトレーを作成します。
あとは医師の指導のもと、カスタムトレーにホワイトニングジェルを塗布し、就寝時に装着するだけです。
オフィスホワイトニングにより得られた「白さ」「明るさ」に「透明感」及び「光沢」を追加することが可能です。
効果が出るまで個人差はありますが、2週間~4週間の期間が必要です。
オフィスホワイトニングとホームホワイトニングを同時に実施するものです。
効果は一番でます。
| ホームホワイトニング | ¥20,000(税別) |
| オフィスホワイトニング | ¥24,000(税別) |
| デュアルホワイトニング | ¥40,000(税別) |